Zdravlje

Četvrtak, 17.03.2022.

16:33

Prve simptome raka pluća vezujemo za manje ozbiljnu, akutnu bolest – znaci koje ne treba ignorisati

Rak pluća je fatalna bolest, ali ako se rano dijagnostikuje, može ozbiljno da poveća šanse za izlečenje.

Izvor: hayat.ba

Prve simptome raka pluća vezujemo za manje ozbiljnu, akutnu bolest – znaci koje ne treba ignorisati
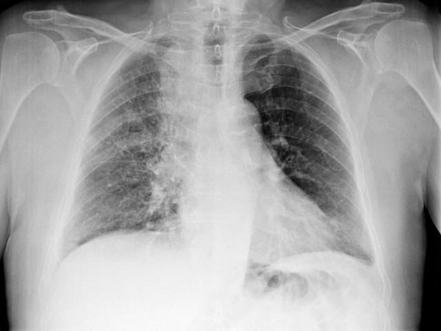
Foto: Profimedia

Kod ljudi sa karcinomom pluća simptomi se ne javljaju često dok stanje nije dostiglo kasniju fazu bolesti.

Međutim, neki ljudi mogu primetiti simptome za koje misle da su povezani sa manje ozbiljnom, akutnom bolešću.

Prvi simptomi uključuju:

• gubitak apetita,

• promene u nečijem glasu, kao što je promuklost,

• česte infekcije grudnog koša, poput bronhitisa ili upale pluća,

• dugotrajni kašalj koji može početi da se pogoršava,

• kratak dah,

• neobjašnjive glavobolje,

• gubitak težine,

• piskanje prilikom disanja.

Osoba može da doživi i teže simptome povezane sa karcinomom pluća.

Oni uključuju jake bolove u grudima ili kostima ili iskašljavanje krvi.

Ovo je arhivirana verzija originalne stranice. Izvinjavamo se ukoliko, usled tehničkih ograničenja, stranica i njen sadržaj ne odgovaraju originalnoj verziji.

24 Komentari

Možda vas zanima

Svet

Evropa će goreti, ali bukvalno

Evropa je tokom 2025. zabeležila jednu od najtoplijih godina u istoriji, dok naučnici upozoravaju da bi 2026. mogla da bude još toplija zbog očekivanog jačeg El Ninja, pokazao je novi izveštaj Svetske meteorološke organizacije i programa EU Kopernikus.

9:21

29.4.2026.

1 d

Podeli: