Napeto u Areni – malo je falilo za senzaciju
Vaterpolisti Rumunije savladali su Tursku rezultatom 20:19 u poslednjem meču 2. kola Evropskog prvenstva u Beogradu.
21:56
13.1.2026.
1 d
Nedelja, 23.04.2023.
20:40
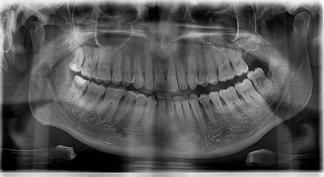
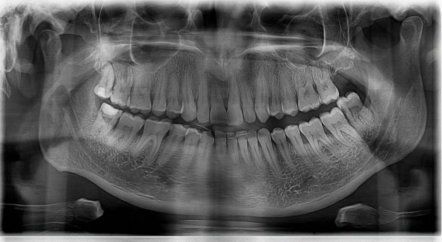
Ako ste ikada imali nesreću da izgubite zub, možda ste u prošlosti razmišljali o zubnim implantatima. Možda ste se takođe iznenadili kada ste saznali koliko su skupi i da se često koriste materijali kao što su živa ili srebro. Ali šta ako bi naši zubi zaista mogli da izrastu? Na sreću, postoji neverovatno otkriće u oralnom zdravlju koje bi moglo potpuno da promeni odnos prema ovom problemu.
Уместо имплантата, пломби, мостова...и сл. до вашег новог израслог зуба у року 9 недеља путем сопствених матичних ћелија...https://t.co/Zia1DQugvj
— Dentistolog (@dentistolog) April 23, 2023
Ovo je arhivirana verzija originalne stranice. Izvinjavamo se ukoliko, usled tehničkih ograničenja, stranica i njen sadržaj ne odgovaraju originalnoj verziji.
Oči celog sveta uprte su u Iran, u kom se masovne demonstracije i njihovo brutalno gušenje ne zaustavljaju, ali i u SAD čiji predsednik je zapretio da će Amerika intervenisati. Mnoge države su pozvale svoje građane u Iranu da napuste zemlju.
23:40
14.1.2026.
5 h
Danas je četvrtak, 15. januar, a ovo su istorijski događaji koji su obeležili današnji datum.
0:00
15.1.2026.
5 h
Rat u Ukrajini – 1.421. dan. Predsednik Ukrajine Volodimir Zelenski izjavio je da će u energetskom sektoru biti proglašeno "vanredno stanje", jer se zemlja mora nositi sa posledicama ruskih udara na svoju kritičnu infrastrukturu, prenosi The Guardian.
23:54
14.1.2026.
5 h
Rezultati dve nove ankete objavljene danas pokazuju da većina birača ne želi da SAD preduzmu vojnu akciju protiv Irana i smatraju da predsednik Donald Tramp preteruje.
23:26
14.1.2026.
6 h
Iranski ministar spoljnih poslova Abas Aragči rekao je u intervjuu za "Foks njuz" iranska vlada ima potpunu kontrolu nad situacijom u zemlji nakon tri dana nasilnih protesta i iskoristio priliku da uputi direktno upozorenje predsedniku SAD Donaldu Trampu.
23:10
14.1.2026.
6 h
Dve OnlyFans kreatorke izbačene su sa leta American Airlinesa i uhapšene nakon što su, prema navodima policije, pod dejstvom alkohola sedele u prvoj klasi i odbile da se premeste na svoja mesta.
21:40
14.1.2026.
7 h
U Australiji je leto u punom jeku, a s njim i vrlo visoke temperature koje dočekuju tenisere i teniserke pristigle na pripreme za skorašnji Australijan Open.
21:07
14.1.2026.
8 h
Pevačica Ana Bekuta sramno je izviždana i gađana je ledenicama u Čačku tokom nastupa, a sa svih strana stižu osude ovakvog ponašanja.
20:40
14.1.2026.
8 h
Ana Ivanović nedavno je objavila fotografiju sa Rafaelom Nadalom, a slavni teniser joj je odgovorio prisnom porukom koja je uzburkala fanove na društvenim mrežama.
20:37
14.1.2026.
8 h
Dva meseca nakon smrti Itana Brauna, sina muzičara Džeksona Brauna, poznat je uzrok smrti.
18:25
14.1.2026.
11 h
Početak nove godine mnoge podstakne da preispitaju svoje navike i okrenu se zdravijem načinu života, naročito kada je cilj dugovečnost.
18:58
14.1.2026.
10 h
Bol u grudima se češće javlja tokom hladnog vremena i nije bezazleni simptom, naročito kod osoba sa srčanim smetnjama.
16:14
14.1.2026.
13 h
Ruski lek "Rakurs 223Ra" za lečenje raka već se pojavio u bolnicama, saopštila je danas ruska Federalna medicinsko-biološka agencija.
12:21
14.1.2026.
17 h
Na osnovu jedne noći provedene u laboratoriji za spavanje, veštačka inteligencija može da proceni rizik za više od 130 bolesti – od Parkinsonove bolesti, do raka dojke. Softver ne otkriva uzroke, već samo korelacije.
11:38
14.1.2026.
17 h
Danas počinju prijave za nove besplatne preventivne zdravstvene preglede u cilju očuvanja zdravlja koje sprovodi Zavod za zdravstvenu zaštitu radnika "Železnice Srbije", rekao je prim. dr Vlado Batnožić, direktor tog zavoda.
9:54
14.1.2026.
19 h
Ljubitelji mafijaških drama hvale jedan pomalo "zapostavljeni" filmski dragulj Martina Skrosezea – "Kazino".
21:57
14.1.2026.
7 h
Studio New Line objavio je prvi tizer za horor film Mumija: Film Lija Kronina (Lee Cronin's The Mummy), reditelja i scenariste Lija Kronina, poznatog po uspešnom hororu Evil Dead Rise.
21:05
14.1.2026.
8 h
Premijera treće sezone HBO Original serije "Euforija" (Euphoria) biće 13. aprila na HBO Max striming platformi.
20:14
14.1.2026.
9 h
Netflix je najavio seriju "The Dealer", korejsku kriminalističku dramu smeštenu u svet kazina, koju producira Hvang Dong-hjuk, autor serije "Squid Game".
17:55
14.1.2026.
11 h
U 96. godini Klint Istvud i dalje drži status jedne od najvećih živih holivudskih legendi, a rad sa njim smatra se privilegijom.
13:40
14.1.2026.
15 h
Barsa je oformila veoma solidnu ekipu sa iskusnim igračicama.
19:54
14.1.2026.
9 h
ZywOo je oborio najveći broj rekorda.
20:36
13.1.2026.
1 d
Skandinavski kanteraši dominiraju.
9:00
12.1.2026.
2 d
Novu mini-igru Demacia Rising možete isprobati već danas.
18:40
9.1.2026.
5 d
Nova sezona konačno može da počne!
18:08
8.1.2026.
6 d
Denmark and Greenland are strengthening their military presence in Greenland together with NATO allies as part of military exercises in the Arctic, Greenland’s armed forces said, ahead of talks between foreign ministers of Denmark / Greenland and US officials.
16:40
14.1.2026.
12 h
Serbian President Aleksandar Vučić addressed the public from Abu Dhabi, where he will participate in the panel “Partnership and Cooperation in the Field of Energy” as part of Sustainability Week 2026.
11:31
14.1.2026.
18 h
If Maia Sandu’s wish were to come true—that is, if Moldova and Romania were to unite—a new country with around 24 million inhabitants would be created, which would change the balance of power in Europe.
11:23
14.1.2026.
18 h
After the escalation of the conflict in Iran, where it has been confirmed that over 2,500 people have been killed during the protests, it is increasingly likely that U.S. president will attack Iran, but analysts believe that this would bring numerous problems.
11:11
14.1.2026.
18 h
“The European Union, by constantly talking about Iran, is diverting attention from Greenland—the issue it should be dealing with now,” said Maria Zakharova, spokeswoman for the Russian Ministry of Foreign Affairs.
11:03
14.1.2026.
18 h
Među tuženim kompanijama nalaze se i najveći izdavaći u muzičkoj industriji.
20:00
14.1.2026.
9 h
Nije jasno da li Peking želi potpunu zabranu ili razmatra samo neki vid ograničenja.
15:30
14.1.2026.
14 h
X je blokiran još tokom 2024. godine, kada je u Venecuali ponovo za predsednika izabran Nikolas Maduro.
13:30
14.1.2026.
16 h
Xiaomi je objavio listu pametnih telefona za svoje brendove Xiaomi, Redmi i POCO kojima će tokom 2026. godine biti okončana zvanična softverska podrška.
12:00
14.1.2026.
17 h
Američka Federalna komisija za komunikacije (FCC) donela je odluku kojom omogućava mobilnom operateru Verizon da duže zadrži telefonezaključanim.
10:30
14.1.2026.
19 h
Poznati su finalisti za Svetski auto 2026. po izboru dama.
20:15
14.1.2026.
9 h
Za sada je objavljena samo silueta novog automobila, ali je jasno da dizajn crpi inspiraciju iz legendarnog modela sa prepoznatljivim zadnjim staklom.
18:30
14.1.2026.
11 h
Sve više proizvođača razmatra – ili već primenjuje – rešenje u kojem klasično zadnje staklo uopšte ne postoji.
16:00
14.1.2026.
13 h
Trend iznenađuje analitičare, jer SUV segment, kod kojiih je pogon 4x4 najčešći u poređenju sa drugim klasama vozila, i dalje raste među novim automobilima.
14:15
14.1.2026.
15 h
U slučaju kašnjenja od najmanje tri sata, ceo iznos naknade mora biti vraćen. Ipak, postoji i jedan uslov...
12:30
14.1.2026.
17 h
Komentari 41
Pogledaj komentare